科普|为什么林允整牙后老5岁,孙杨美牙后帅10级?
更美网
孙杨最近发了张自拍,沙滩海水墨镜加上半裸的上身,撩妹指数五颗星!所长已经默默的把这张照片保存到相册了,有机会也copy张一样的发票圈(微笑脸)
wuli大白杨自己说这张照骗是经过了五级美颜!哈哈,手活儿好的所长默默给他来了个十级还原(偷笑ing)
恢复本色的孙杨,不得不说,这一口大白牙真是hin抢眼啊!
话说,印象中孙杨应该是酱紫的~面目狰狞加上一口鲨鱼牙,所以人送外号大白鲨
万万没想到现在大鲨鱼一秒变人鱼,颜值不输小鲜肉
网友们说的没错,看来孙杨这二十多年的颜值是耽误在这口牙上了
当然,除了大白杨,其他明星也都热衷于整牙呢~
比如林允前一阵就被说做了烤瓷牙以后颜值下跌(林允变丑才不是因为牙,不zuo就不会老十岁!)不过所长说句实在话,林允的牙整完确实比以前好太多了~
林心如以前的牙也是又黄又乱,两颗虎牙也很突出,现在整齐洁白的牙齿笑起来简直自带反光板
就连公认的女神高圆圆以前的牙也是让人不忍直视,整完牙后也变得更加漂亮了
还有你们想都想不到的范爷!一直以来范爷给人的印象总是颜值零bug,不过她刚出道的时候牙齿并不整齐,而且偏黄,整完牙以后这张脸妥妥的完美了
SO。。。怎么能快速拥有一口洁白整齐的牙齿呢?
其实关于整牙所长已经介绍过很多方法了,还不了解的宝宝可以戳关于矫正&美白……牙齿美容全面科普![科普]
今天呢,傲娇的所长再给大家安利一下牙齿贴面技术
我是傲娇的分割线
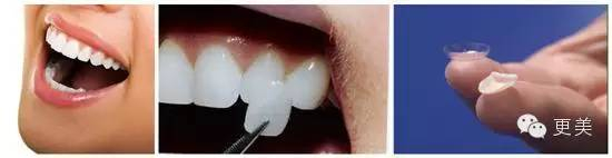
牙贴面就是在牙齿上粘贴一层近似正常牙色的材料,从而修复牙变色的问题。
牙齿上贴的就是这种东东哦▼
要知道做一次牙齿贴面,需要先取牙模,然后做牙体预备(磨牙),之后再调整咬合,贴上这个牙片~
简单的讲,就是把你的牙齿稍微磨小一丢丢,然后再给牙齿穿上一层漂亮的外衣~
说到牙贴面的材料,分为三种:瓷贴面、树脂贴面和硬质贴面
瓷贴面、树脂贴面和硬质贴面的区别▼
瓷贴面:瓷贴面可以说是贴面家族里的贵族,技术、材料要求很高,仿真度高,美观效果好,材质稳定耐久,当然费用也比较高。
树脂贴面:直接用树脂在患者口内制作的贴面,其最大的优点是方便、快捷、迅速。树脂材料肯定会变色的,而且树脂材料在顺滑度和密贴度方面会差一些。
硬质贴面:也叫硬质树脂贴面、超瓷贴面、类瓷贴面。其材质是树脂中加入了大量的瓷粉颗粒,不但提高了树脂的耐磨度,也极大的提高了树脂的美观性。
那么这三种材质该怎么选择呢?
三种贴面相比较,从效果看,瓷贴面最好,硬质贴面次之。从费用上看,树脂贴面最便宜,瓷贴面最贵。美人们可以根据自己的要求和经济条件作出选择。
牙贴面能改善很多牙齿问题▼
中、重度的四环素牙or氟斑牙
牙齿轻微缺损
牙齿缝隙大
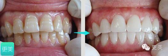
所长给大家看看更美用户做过牙贴面之后的效果
当然,并不是所有人都适合做牙齿贴面的~
牙齿贴面以磨牙少,甚至可以不磨牙的优势得到广大消费者的认可,但是做牙齿贴面对牙齿本身的要求是牙齿一定要整齐,这样做牙齿贴面才能真正达到非常美观的效果。
而且, 虽然贴面后牙齿会立刻变白,也很自然和逼真,方便简单,但牙齿美白贴面还是易脱落、易变色,引起牙龈肿胀、出血等
那么牙贴面有保质期吗?
答案是YES。。。在正常使用和定期检查的情况下,一般能够保持使用15年以上,正常情况下是不需要更换的,但需要定期做牙周护理以及贴面边缘抛光。如果贴面出现了残损、脱落,还是需要及时更换哒~
最后,所长还要强调的是,牙贴面多多少少还是会需要磨掉一些牙齿的,假如你是为了让牙齿变整齐或者变白的话,可以先尝试牙齿矫正和冷光美白哦~
宝宝们还想知道哪些科普
本文来自微信公众号“更美”