新浪女性

还有比脂肪、玻尿酸更牛X的填充物?有请填充界新贵登场

新浪医美

关注

说起填充,那就不得不提到称霸医美界的两种材料了,一个是玻尿酸,另一个就是自体脂肪。可是大家都知道,玻尿酸虽然属于即做即走、即刻见效的“午休美容”,但是它会吸收啊,半年后还得补补补啊。

而自体脂肪呢正好弥补了玻尿酸不能永久的遗憾,活下来就是自己的。但是!活多少这个问题就更让人头疼了,而且还要忍受长达两周的面部肿胀期,也是让人real心塞呢……

那有没有能将两者优势结合的替代品呢?以前不敢说有,但是现在有了,它叫做脂肪干细胞胶,不仅恢复期短还能达到永久效果!

什么是脂肪干细胞胶?

脂肪干细胞胶(SVF GEL)是通过物理方法有效去除脂肪组织中的油滴后,得到的富含脂肪干细胞和细胞外基质(主要成分是胶原蛋白,弹性蛋白和粘多糖)的可注射的凝胶状脂肪移植材料。

听这种略带专业的描述估计很多人估计都有点蒙圈儿,不过大家一定听说过纳米脂肪吧,目前网上流传的比如“二代纳米脂肪”、“二代纳米脂肪凝胶”、“纳米脂肪凝胶”都是指的脂肪干细胞胶。在这里必须纠正下,虽然脂肪干细胞胶是纳米脂肪(Nanofat)的启发而来,但它并不是纳米脂肪。

为了帮助宝宝们更浅显易懂的了解脂肪干细胞胶,小编下面就拿大家所熟悉的普通大颗粒脂肪、纳米脂肪和脂肪干细胞胶来进行比较。

1、形态不同,脂肪干细胞胶呈果冻状

无论是普通大颗粒脂肪还是纳米脂肪,所呈现的一个状态都是液体形态。

而经过处理后得到的脂肪干细胞胶则呈现出类似透明质酸(玻尿酸)的凝胶状外观,看起来有点像果冻。

2、脂肪干细胞胶直径更小

普通脂肪的颗粒比较大,直径有1-2mm,一般用针头为18G的钝针推送注射脂肪;纳米脂肪是微小颗粒的脂肪团通常其直径只有0.4mm,和脂肪干细胞胶一样可以通过27G细小的针头来进行推注。

27G的针头是个什么概念呢?我们熟悉的玻尿酸就是用的这个型号的针头。

3、脂肪干细胞胶制备过程更加复杂

我们都知道刚吸出来的脂肪是带有肿胀液和少量毛细血管的,需要经过离心或者过滤之后得到纯化后的大颗粒脂肪才能进行注射填充。

纳米脂肪的获取过程则在前面的基础上多了两个步骤,那就是在脂肪经过沉淀后进行反复推注↓

再用纱布进行过滤↓

这道工序的目的是将其中的成熟脂肪细胞进行破坏,最后得到保留下活性的细胞成分和破损细胞的混合物成分,也就是纳米脂肪。

(纳米脂肪制备流程图)

这样得到的纳米脂肪中仍然含有大量的肿胀液及油滴,其中油滴占脂肪体积的90%,而这些含有油滴的单方脂肪细胞是难以存活的。于是科学家们研究出有效的物理方法,并通过这个方法成功去除脂肪组织中的油滴,得到了富含脂肪干细胞和细胞外基质的脂肪干细胞胶。

脂肪干细胞胶和纳米脂肪的制备过程中有相同的一个步骤,那就是反复推注。但不同的是,脂肪干细胞胶的反复推注发生在将沉淀的脂肪第一次离心之后。脂肪干细胞胶的第一次离心去掉了沉淀脂肪中含有的肿胀液;第二次离心去除了成熟脂肪细胞破裂释放的油滴。

(脂肪干细胞胶制备流程)

4、脂肪干细胞胶留存率远远高于大颗粒脂肪

由于脂肪干细胞胶中脂肪干细胞的浓度超过普通脂肪的数倍至十倍,移植后的长期稳定保留率超过85%,远远高于常规脂肪移植。

(红线为脂肪干细胞胶保留率、蓝线为普通脂肪保留率)

5、注射脂肪干细胞胶恢复期短

另外,由于高效地去除了油滴,减少了因为油滴释放所引发的炎症反应,高浓度的细胞外基质加速恢复。因此注射脂肪干细胞胶大大缩短了术后恢复时间。脂肪干细胞胶的恢复期是3~4天,而传统自体脂肪填充则需要2~3周左右。

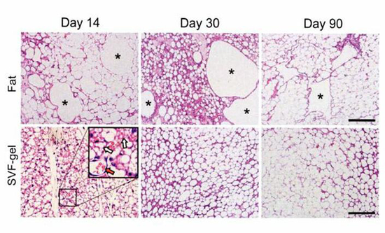
(大颗粒脂肪移植和脂肪干细胞胶移植后的细胞切片)

我们可以从上图中看到,于第一排大颗粒脂肪移植组织中有油滴和一些炎症反应,而第二排脂肪干细胞胶移植后组织内空洞及坏死组织明显少于第一排。

6、脂肪干细胞胶的临床应用。

2016年,世界整形外科TOP1的杂志《Plastic and Reconstructive Surgery》接收了来自南方医科大学南方医院整形外科鲁峰教授的团队关于SVF-GEL(脂肪干细胞胶)的制备及在面部年轻化中应用的原创性论文。

同年,鲁丰教授就该全新的脂肪浓缩的分离和提纯技术成功申请了国家发明专利,目前他们团队开展脂肪干细胞胶临床治疗已有近两年的时间,积累了大量的临床案例,我们也发现越来越多的医生开始使用脂肪干细胞胶技术。

与传统大颗粒脂肪相比,由于脂肪干细胞胶采用27G针头精准注射,所以能够到达大颗粒脂肪不能达到的真皮内。其中细胞外基质能够补充真皮中丢失的胶原成分,脂肪干细胞可分泌的表皮生长因子、内皮细胞生长因子、成纤维细胞生长因子等作用于真皮成纤维细胞,长时间地改善肤质,促进真皮胶原再生,达到长久面部年轻化的治疗效果,例如眼周细纹、黑眼圈、口周细纹、颈纹等等,这一点和纳米脂肪功效一致。

脂肪干细胞胶治疗泪沟、黑眼圈↓

脂肪干细胞胶治疗额头凹陷瘢痕↓

脂肪干细胞胶治疗颈纹↓

脂肪干细胞胶面部年轻化↓

另外,虽然纳米脂肪和脂肪干细胞胶都可以注射入真皮内达到面部年轻化的目的,但是纳米脂肪移植后不产生体积,并不能作为填充剂,而脂肪干细胞胶是可以做为填充剂来填补凹陷部位的。

脂肪干细胞胶隆鼻↓

脂肪干细胞胶填充面颊凹陷区↓

脂肪干细胞胶丰下巴↓

脂肪干细胞胶修复吸脂手术凹陷↓

但是由于制备1ml脂肪干细胞胶需要10ml脂肪,所以脂肪干细胞胶作为填充剂时一般只用于局部填充,而非大量使用。如果需要大剂量填充,建议和大颗粒脂肪一起完成。

最后,小编做了个对比表格来给大家总结下今天的知识点↓

区别

传统脂肪移植

纳米脂肪移植

脂肪干细胞胶移植

形态

液体

乳糜状悬浮液

凝胶状

注射针头

18G

27G

27G

制备过程

离心或者过滤后得到的沉淀物

将所得沉淀物反复推注一次后再过滤

反复推注、两次离心后去除油滴

注射部位

骨膜下、肌肉内、筋膜下、真皮下

真皮内

骨膜下、肌肉内、筋膜下、真皮下、真皮内

适应症

容量填充

改善肤质(眼周细纹、口周细纹、颈纹、黑眼圈等)

容量填充、改善肤质(眼周细纹、口周细纹、颈纹、黑眼圈等)

填充恢复期

2-3周

-

3-4天

区别 传统脂肪移植 纳米脂肪移植 脂肪干细胞胶移植

形态 液体 乳糜状悬浮液 凝胶状

注射针头 18G 27G 27G

制备过程 离心或者过滤后得到的沉淀物 将所得沉淀物反复推注一次后再过滤 反复推注、两次离心后去除油滴

注射部位 骨膜下、肌肉内、筋膜下、真皮下 真皮内 骨膜下、肌肉内、筋膜下、真皮下、真皮内

适应症 容量填充 改善肤质(眼周细纹、口周细纹、颈纹、黑眼圈等) 容量填充、改善肤质(眼周细纹、口周细纹、颈纹、黑眼圈等)

填充恢复期 2-3周 - 3-4天

看完今天的科普,是不是给考虑进行填充或者面部年轻化的各位提供了一个更好的选择呢?人类在发展科技在进步,我们医美界的技术也在不断提高呢!最后,感谢鲁峰教授、谢海波医生提供内容支持~

版权声明:本文为新浪医美原创,如需转载请联系eladieschannel@sina.com

申请授权。若未经允许擅自转载,一旦发现新浪医美将采取法律手段予以追究。

加载中...